
(图片来源:江浙佛教网)
实例一:生吃动物体内长出数千虫子
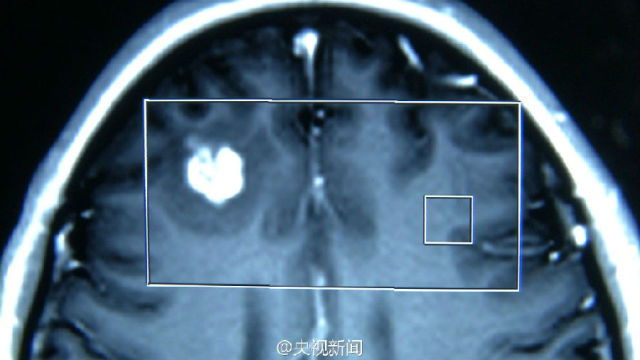
苏州女孩小严半年来经常头痛、抽搐,医生开颅发现一条30厘米长白色活虫在其脑内游走!此虫是猪肉绦虫的幼虫,小严可能吃了含有绦虫卵的生蔬菜或没熟的肉类,虫卵通过消化道进入血液,再进入脑组织。医生提醒:勿食生食!食物一定要煮熟煮透再吃!(江浙佛教网提示不要食用)
.

.

.

.

.

紧急扩散!这些食物不要吃,别生吃
体内可能长出数千虫子!
(本网站提示以下肉食不要食用)
①福寿螺可藏6000条虫

②生吃黄鳝可能感染寄生虫,体内乱钻

③小龙虾可携带肺吸虫

④淡水鱼生鱼片有肝吸虫

⑤吃三分熟牛排长出1米绦虫

⑥未熟涮羊肉可能感染弓形虫

⑦田螺可能有寄生虫

⑧荸荠皮或有姜片虫,别用嘴啃皮。

.
实例二:杀生吃肉导致多病、短命实例
如佛所说杀生食肉者,常受断命多病身(很现实的!)
在《首楞严经》《入楞伽经》《大般涅槃经》等多部大乘经典中,佛陀都讲到不要杀生吃肉。在《一切智光明仙人慈心因缘不食肉经》中,佛陀开示道:“宁当燃身破眼目,不忍行杀食众生。诸佛所说慈悲经,彼经中说行慈者,宁破骨髓出头脑,不忍啖肉食众生。如佛所说食肉者,此人行慈不满足,常受短命多病身,迷没生死不成佛。”
佛说吃肉会导致多病和短命,社会现实确实如此,浏览新闻,许多名人英年早逝,令人怵目惊心,随拈几例:
1999年12月,美国第三大汉堡快餐连锁店温迪汉堡的总裁高登·迪特心脏病突发逝世,享年56岁。两年后,该店总裁大卫·托马斯患肝癌逝世。
2002年7月30日,56岁的青岛啤酒老总彭作义游泳时突发心肌梗塞去世。
2003年12月30日,著名香港艺人梅艳芳因癌症病逝,享年40岁。娱乐界的人们知道,为了唱歌“开声”,梅艳芳有吃活宰的蛇胆的习惯。
2004年4月13日,旧110国道70公里处发现一烧焦男尸,被确认为内蒙古小肥羊餐饮连锁公司一加盟店经理姜英武(38岁),八天前,他开着奥迪轿车失踪。
2004年4月19日,全球最大的快餐连锁店、著名的美国麦当劳公司董事长兼首席执行官坎塔路波突发心脏病死亡。次年1月17日,接棒的贝尔也因肠癌去世,
2004年12月21日,本应是知名企业家、重庆风味源食品有限公司董事长、“璧山兔”开山鼻祖何刚接受县政府表彰的日子,因为他开发的“璧山兔”刚获得国家有关部门授予的“中华第一兔”的称号。然而这一天,一名清洁工人却在璧南河边发现了这个千万富豪冰冷的尸体。记者发出“千万富翁暴死,有钱人能否用金钱构筑安全的世界?”的疑问。

(图片来源:江浙佛教网)
冷面店员工杀狗未遂,“杀手”瞬间变成“火人”
2004年07月17日辽沈晚报
昨日上午9时40分,沈阳市和平区砂山街66号“小红房”西塔狗肉冷面店里,一名工人在宰杀黑狗的时候,喷灯发生爆炸,引燃整个冷面店。三名饭店员工因此被烧成重伤,那只黑狗却因火灾暂时保住了性命。
持刀的男人步步逼近,无助的黑狗浑身发抖。手起刀落!黑狗痛失一条后腿。“呜……呜……”地发出阵阵哀鸣。男人俯身拿起一顶喷灯,准备褪狗毛,“砰!”喷灯发出一声巨响,男人瞬间变成“火人”,呼喊着冲出屋外,摔倒在地。众邻居立即上前扑救。一名崔姓男子掏出电话,拨打119报警。厨房里,火势迅速地蔓延,贪婪的火舌冲向厨房里的3个煤气罐。
“不好啦,失火啦!”老板等人也从冷面店跑出来,老板的妹妹失声惊呼道:“煤气罐还在屋里啊!”老板闻听此言,拿起被褥冲入火场。此时,煤气罐已经被烈火炙烤得滚烫、发黑,火苗正从胶管内喷出。老板果敢地用被褥扑打燃烧的煤气罐,企图避免悲剧的进一步扩大。烈火无情,老板渐渐体力不支。屋外传来紧迫的警笛声——南湖消防中队的8辆消防车赶到了现场!
“水枪压住火苗,立即转移煤气罐!”消防中队中队长在现场紧急部署,两个水枪阵地从西、南两侧攻入失火厨房。几名消防队员冒险冲入厨房,将三个通体漆黑的煤气罐转移到安全地点。“轰!”平房在烈火的攻势下,部分屋顶轰然倒塌。为避免损失的扩大,消防官兵近距离接触火场,全力灭火。与此同时,一些消防队员帮助冷面店工作人员抢搬火场内的物品,包括那只已经昏迷的黑狗。10时15分,烈火悄然熄灭,冷面店内的三名伤者搭乘出租车,前往医院救治。
走近现场,记者闻到空气中浓烈的焦糊味。近百名围观的群众痛心地见证了这家曾经兴旺的冷面店化为乌有。冷面店的店牌被火烧掉,店厅、后厨的墙壁都被火烤成黑色,餐巾纸、菜谱、桌椅等物品凌乱地散落满地。记者找到被紧急转移的煤气罐,伸手触摸、余热尚存。一名消防官兵心有余悸地告诉记者:“如果这3个煤气罐发生爆炸,将直接威胁到冷面店附近建筑物内的居民与围观群众的生命安全。”
“这只狗真是命大!”众人在感叹冷面店的悲惨境遇的同时,无不对那只黑狗的幸免于难啧啧称道。这只痛失后腿的黑狗睁着一双无辜的大眼睛,无声地注视着眼前发生的变故。这场火灾在烧毁两间民房、烧伤三人。

(图片来源:江浙佛教网)
实例三:吃了这些动物,将会遭到怨灵的报复!
人是地球上最灵性的生物,有句俗语云:三界之中,惟人最灵。人可以享有世间万物,天上飞的、地上跑的、海中游的,哪个不被人类食用?
人类之所以可以捕获一些灵性的动物,是因为它们在修行尚未达到变化人形时,也有“打盹”的时候,或者法力减弱之时,人们乘“虚”而入,或者误打误撞而将其捕获,如蛇、狐、龟等这些灵物,它们有些是修炼了数千年甚至更长时间,均有了法力,如果伤害或者贪图口福,将会引祸上身!
六类动物不能吃
第一位:蛇类。蛇非常有灵性,而且蛇的报复心、嗔恨心以及法力特别强,因此杀蛇、吃蛇的报应往往非常快,而且明显和严重。在道教经典《太上感应篇》中明确指出“无故杀龟打蛇,上天都不能庇护的。”

杀蛇后招恶报的事例非常多,例如八十年代的例子:某人在盖房挖地基之时,突然挖出一窝数条蛇来,主人指示干活民工将蛇打死,但是其中一条白蛇逃走。此后不到一个月,他家中唯一的孩子八岁女儿突然痴呆,他走遍医院治疗也枉效。
后来,经人指点找到某个“大仙”(其实是狐仙),大仙告诉他:“是那只白蛇在做怪,这个白蛇为蛇王,你伤害了它的子孙,它就伤害你的孩子,让你也痛苦一生。”
第二位:鳝鱼;泥鳅。别看鳝鱼不起眼,但是灵性十足;小小的泥鳅最伤婚姻运。伤害它们与伤害蛇类具有同等的报应效力。

浩然曾在预测中就遇到过这样一个案例,一位母亲打电话,说自己三岁的孩子得了软骨病,站不起来。当时我起好卦后,根据卦象就问她:你怀孕时是不是吃过蛇!她说是的,我老公就是开饭店的,经常杀蛇买蛇肉,我也不知吃了多少条。随后,我告诉她,你孩子的病就是与你们杀蛇吃蛇有关,如今报应落在了孩子身上,你们要立即停止杀生行为,好好忏悔,以后多放生多积德行善,否则还有更大的灾祸。

看到这里,有的读者可能会说,自己也吃过蛇肉,但不见得有什么报应啊。其实,吃蛇的报应会体现在生活的方方面面,不光是身体,还有财运、婚姻运、子孙运等等方面,只是大家平时没有把这种不顺与吃蛇联系起来而已。
第三位:牛蛙。吃牛蛙特别容易报复人,而得肿瘤。曾经有这样一则新闻,登在2006年的《新闻晚报》中:在一酒楼中,有顾客点了只牛蛙,当厨师正举刀,准备宰杀这只牛蛙时,谁也没想到,它居然会突然叫起来,叫声就像小儿啼哭,这位厨师从事餐饮业几十年,从未听过牛蛙有这种叫声,这只牛蛙好像是知道了自己的大限已到,在向厨师哭着求饶。

饭店老板看到了这只“通灵”的牛蛙,发现这只牛蛙除了比一般的牛蛙精神许多,再无其它灵异之处,但在牛蛙凄惨的哭叫声中,饭店老板立即制止了厨师的行动,说这只牛蛙有灵性,我们要将将它放生。
第五位:龟类。有位风水师在这某饭店勘察风水时,饭店的厨师给他讲了一个故事:他来此之前,曾在某甲鱼馆工作。一次,他亲眼看见主刀的大厨在杀一只甲鱼时,突然倒地而亡。

要知道,甲鱼的灵性很大,当主刀的厨师杀戮过多时,自己的福禄也被慢慢消掉,恰巧遇到法力大的甲鱼借机来报复,因此才导致悲剧发生。所以,千万不要伤害它们,它们有些均是修炼了数千年甚至更长时间,有些寿命极长,法力具大,如果伤害了它们,就会伤及子孙运和自己的福寿。
第六位:水煮鱼。这个最常见、造业很大,因为人点了它,它才被杀,它在临死前的怨力就会注入食客身上,从而会影响财运,很多人都不知道。

道家的“五大仙”不能吃
道家的“五大仙”就是狐狸、黄鼠狼、刺猬、蛇、老鼠。
狐狸代表感情,是狐仙,有的地方称它为胡大爷;
黄鼠狼代表事业,是黄仙,有的称它为黄二爷;
刺猬代表财富,是白仙,很多地方称它为白老太太;
蛇代表平安,是柳仙,有些地方称为柳三先生;
老鼠是灰仙,有的地方称它为灰四爷。
谁对为“五仙”不敬,或者是伤害、得罪了它们,就有可能被“五仙”附身,轻则厄运不断,重则会丧命。

一些人可能见过黄鼠狼拜月,那些成精的黄鼠狼(黄大仙)会在某些特定的夜晚(比如满月、朔月)直立起身子,前爪抱拳,跪着拜月,就像古人相互行礼的参拜动作,据说这是黄鼠狼通过吸收月光的阴气,来提高自己的修为等等。在这个时候,你如果碰到它们,跟它们讲话,它们都能听懂,而且会给你点头哈腰,还会给你让路。

民间普遍认为狐狸有灵性,能作祟作妖,也能成仙。它们精通道术,能报德,能复仇,同人恋爱,还会捉弄人,同时也能为人医治病痛等等。狐狸老了以后会成精,如果得罪了它,它就会整你,所以不能伤害胡仙,它们成了仙就很高兴。

刺猬倒洞太厉害了,关不住。我遇到过两次刺猬,是在农村遇到的,我半夜回家后,小狗出来乱叫,低头一看,原来有只刺猬,然后我就把小狗拉走了,结果那只刺猬爬到墙那里就钻进去了,白天我一看墙那里根本就没有洞,真不知道它是怎么钻的。刺猬这东西很神奇,遇到了最好躲着点,因为刺猬很像小型豪猪,身上长的都是针刺,它也会成精。

老鼠有极强的报复行为,当我们把家里的老鼠清理干净了,结果几天之后又会有新的老鼠出现,而且越来越多,越来越猖狂,根本不怕人,到处都有老鼠的味道,如果杀害吃了他们,这会更加招惹来老鼠的报复,后果不堪设想。
实例四:[视频]有关吃蛇的报应,如果大家看了下面的视频,想必就会明白一切的。 视频链接点击这里:http://v.youku.com/v_show/id_XNjQwMjI4Njg0.html
.
愿将本文的功德至心回向给法界所有众生,回向往生西方极乐世界。
愿以此功德,庄严佛净土。上报四重恩,下济三途苦。若有见闻者,悉发菩提心。尽此一报身,同生极乐国。

(图片来源:江浙佛教网)